안녕하세요.
부천중동치과
이보다치과 대표원장 배태현 입니다.
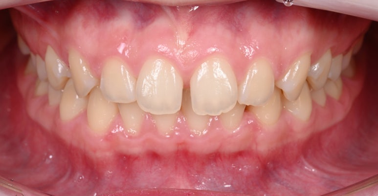
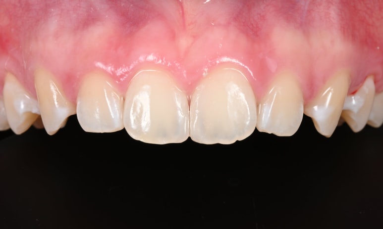
"벌어진 앞니 때문에 웃을 때마다 신경 쓰였어요..."
벌어진 앞니 때문에 고민하시던
여성 환자분께서 내원해주셨습니다.
웃을 때마다 앞니 벌어진 것이 보이니
자신감 있게 웃기가 힘들다고 하셨습니다.
그렇지만 당장 교정치료나
라미네이트처럼 시간이 오래걸리거나
치아삭제가 동반되는 치료는 부담스러우셔서,
자연치아를 그대로 보존하면서도
빠르게 개선할 수 있는 방법을
찾고 계셨습니다.

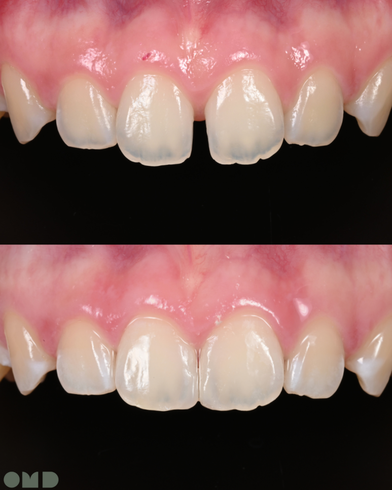
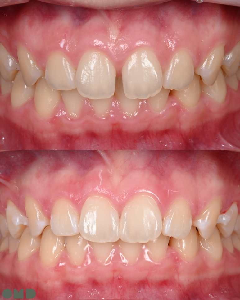
25.08.06 첫 내원 당시
레진, 라미네이트, 교정... 어떤 치료가 좋을까?
앞니 사이의 공간을 메우는
방법은 다양합니다.
1. 교정치료
: 근본적으로 치아 배열을 바꾸는 방법.
치료기간이 길고 비용이 높음
2. 라미네이트/크라운
: 심미적으로 뛰어나지만
치아 삭제가 필요함
3. 레진치료
: 당일 또는 단기간에 치료 가능.
자연치아 삭제 거의 없음
여러 방법에 대해 상담한 후
환자분께서는
자연치아 보존적이고,
짧은 기간 안에 해결 가능한 레진치료를
선택하셨습니다.

25.08.06
" 더 자연스럽게 하고 싶어요"
레진은 당일 바로 치료할 수도 있지만,
심미성을 극대화하기 위해
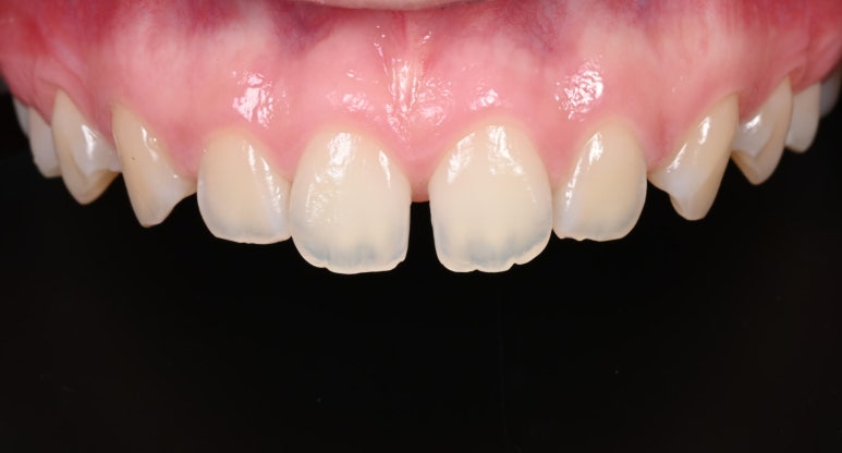
먼저 왁스업을 진행했습니다.
왁스업은 환자분의 치아 모형에
치료 후 예상되는 형태를
미리 재현해보는 과정으로,
치료 결과를 예측하고
디자인을 미리 확인할 수 있는
장점이 있습니다.
-내원 1회차
-> 본을 떠서 왁스업 모델 제작 의뢰
-내원 2회차
-> 왁스업 모델을 이용해 레진치료 진행

왁스업 모델

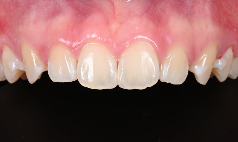
자연스러움을 위한 세심한 디테일
치료는 러버댐을 장착해 수분을
완벽히 차단한 후 진행했습니다.
단일 색상의 레진만 사용할 경우
자연스러운 치아 색상을 재현할 수 없기 때문에,
투명도와 색감이 다른 여러 가지 레진을
층층이 쌓아 올려 실제 치아처럼
보이도록 복원했습니다.

이보다치과에서 사용 중인 다양한 레진

접착력이 가장 강한 본딩제
- 자연치아를 전혀 삭제하지 않고
- 접착제는 Optibond FL 을 사용해 강력한 접착력을 확보
-왁스업 모델과 퍼티 인덱스로 치아 형태를 정교하게 재현

러버댐 장착

퍼티인덱스

레진 빌드업


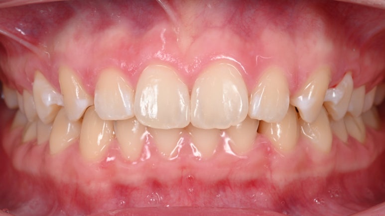
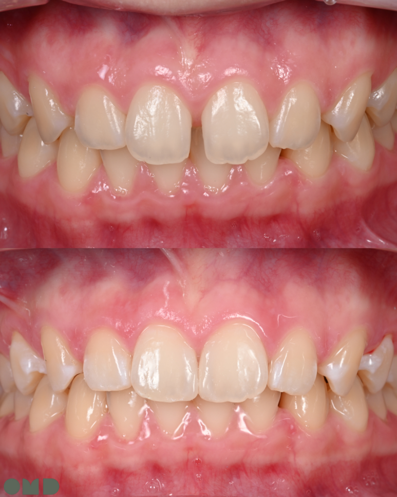
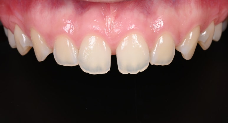
치료는 3일만에 2회 내원으로 완료 되었습니다.
치료가 끝난 후 환자분께서도 매우 만족해하셨습니다 ^^
앞니 심미치료는 방법에 따라
각각의 장단점이 있습니다.
하지만 이번 케이스처럼
레진치료는 치아를 깎지 않고도
짧은 기간 안에 심미적인 개선이 가능하다는
큰 장점이 있습니다.
또한 시간이 지나 레진이 마모되거나
변색되더라도, 크라운이나 라미네이트처럼
복잡한 과정이 아니라
비교적 간단하게 재치료가 가능하다는
점도 환자분께는 중요한 장점이라고
생각합니다.
이보다치과에서는
단순히 공간을 메우는 것이 아니라,
자연스러움과 치아 보존, 그리고
앞으로의 재치료 가능성까지 고려해
치료하고 있습니다.
오늘 내용이
많은 도움이 되셨으면 좋겠습니다.
감사합니다!

.png?type=w773)