안녕하세요 !
보다 나은 내일, 이보다치과 대표원장 배태현 입니다.
치과 의사로서 가장 보람찬 순간 중 하나는,
저희 치과에서 진료받으시는 환자분께서 본인의 소중한 가족을 소개해 주실 때입니다.
그만큼 저희의 진심과 실력을 믿어주신다는 의미니까요. ^^
오늘은 저희 치과에 다니고 계신 아버님의 추천으로 내원하신 30대 여성 환자분의
앞니 크라운 재치료 이야기를 들려드리려 합니다.
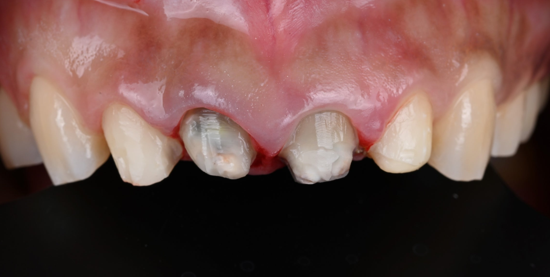
"오래전 씌운 앞니 크라운이 깨졌어요."
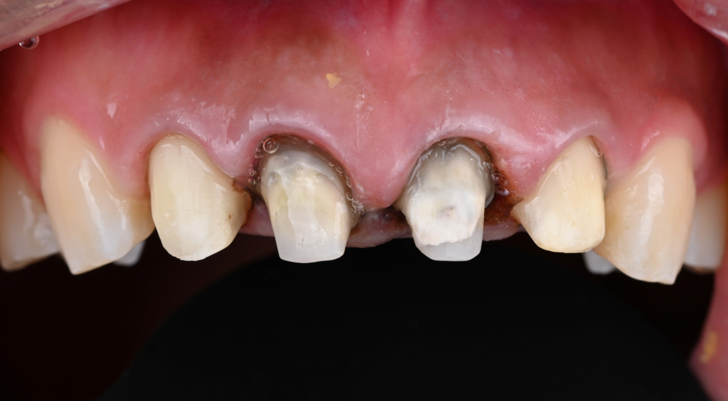
환자분께서는 과거 다른 치과에서 받으셨던 앞니 크라운이 깨진 상태로 내원하셨습니다.
기존 보철물은 앞니 4개가 하나로 연결된 형태였는데, 세월이 흐르며 파절이 발생한 것이죠.
26.02.03 깨진 앞니 크라운
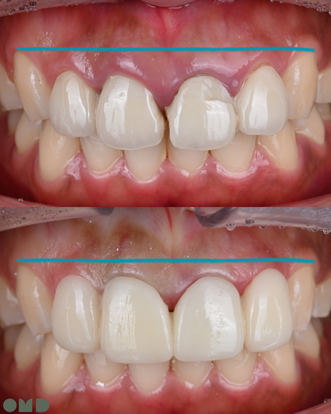
하지만 환자분에게는 또 다른 숨은 고민이 있었습니다.
바로 웃을 때 잇몸이 과도하게 노출되는 '거미스마일(Gummy Smile)'이었습니다.
깨진 보철물을 교체하면서 이 부분도 함께 개선해보기로 했습니다.
26.02.03 거미스마일
보통 거미스마일을 해결하기 위해서는'치은절제술' 같은 수술적인 방법을 먼저 떠올립니다.
하지만 저는 환자분께 조금 더 편안하고 덜 침습적인 방법을 제안해 드렸습니다.
치아와 잇몸뼈의 위치를 확인해보니 잇몸을 제거하는 수술적인 방법이 아닌 다른 방법으로 치료가 가능한 상태였습니다.

CT분석을 통해 치아와 잇몸뼈 위치 확인
1. 정교한 치은연하 프렙 (Subgingival Prep)
잇몸을 직접 깎아내는 대신,
치아를 다듬는 경계 라인을 잇몸 안쪽으로 조금 더 깊고 정밀하게 설정했습니다.
잇몸이 자연스럽게 올라갈 수 있는 공간을 마련해 주는 기초 작업입니다.
2. 임시치아를 이용한 '잇몸 성형'
본을 뜨기 전, 임시치아의 잇몸 쪽 형태(Contour)를 세밀하게 조정했습니다.
임시치아가 잇몸 라인을 지지하고 유도하도록 하여, 수술 없이도 환자분께 가장 어울리는
이상적인 잇몸 라인을 찾아가는 과정입니다.
26.02.03 기존 크라운 제거 직후

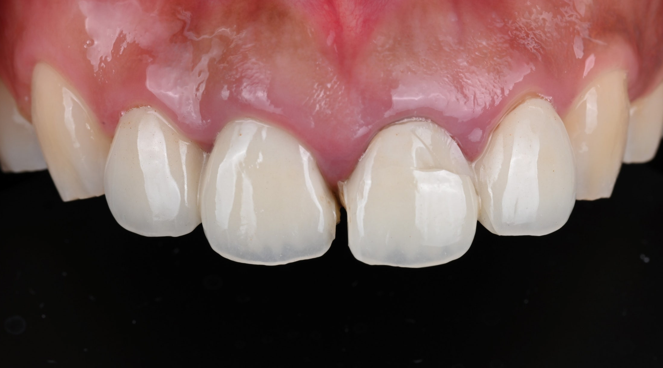
25.02.10 임시치아 장착
.png?type=w1)
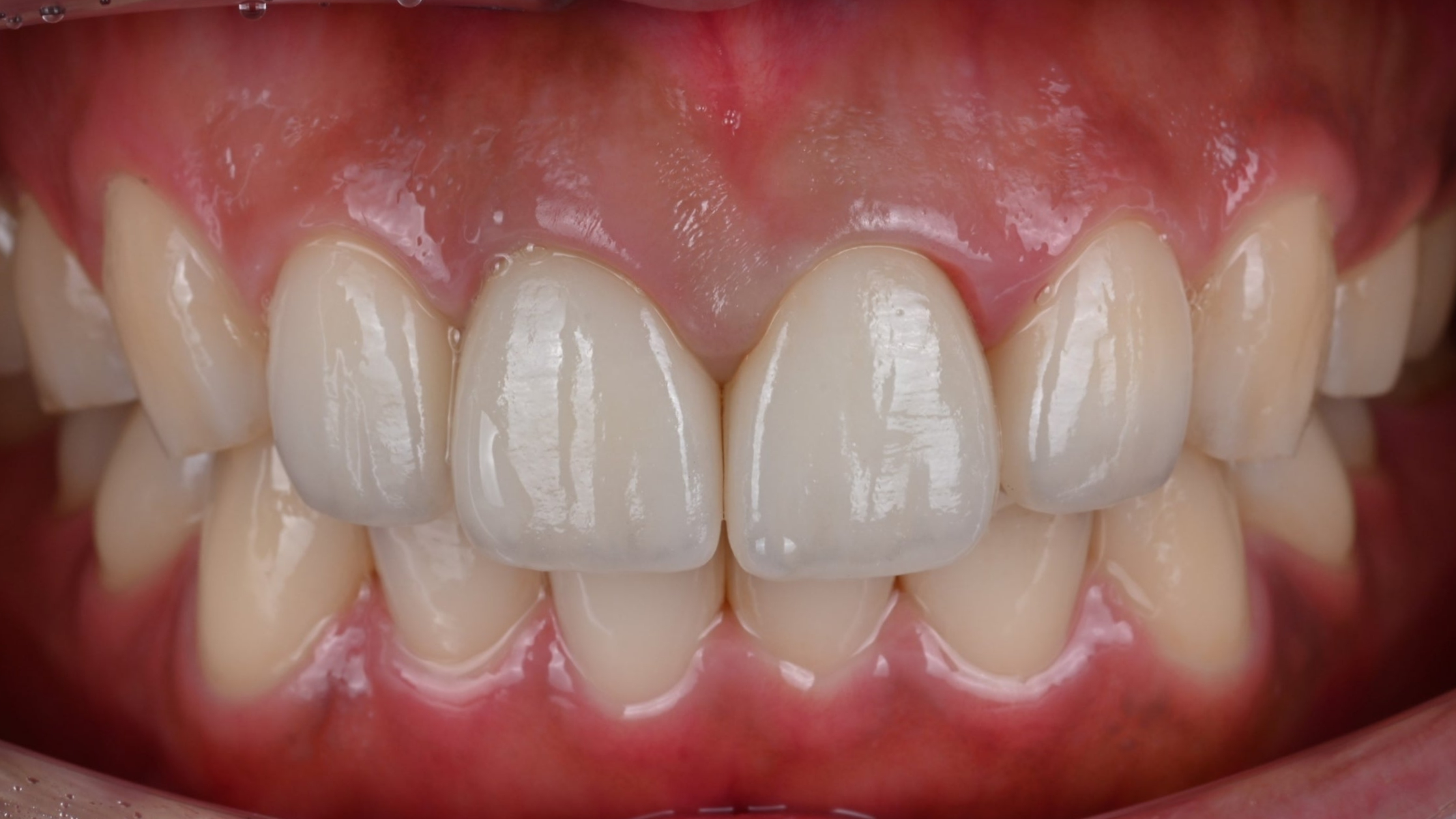
임시치아 장착 전,후 잇몸 라인 비교
임시치아 상태에서 잇몸이 건강하게 자리를 잡고,
환자분께서도 바뀐 미소 라인에 적응하시는 기간을 충분히 가졌습니다. (약3주)
임시치아 장착 기간동안 최종 보철물 형태에 대해서도
환자분이 어떤 형태, 색상, 느낌을 원하시는지 충분히 상의하였습니다.
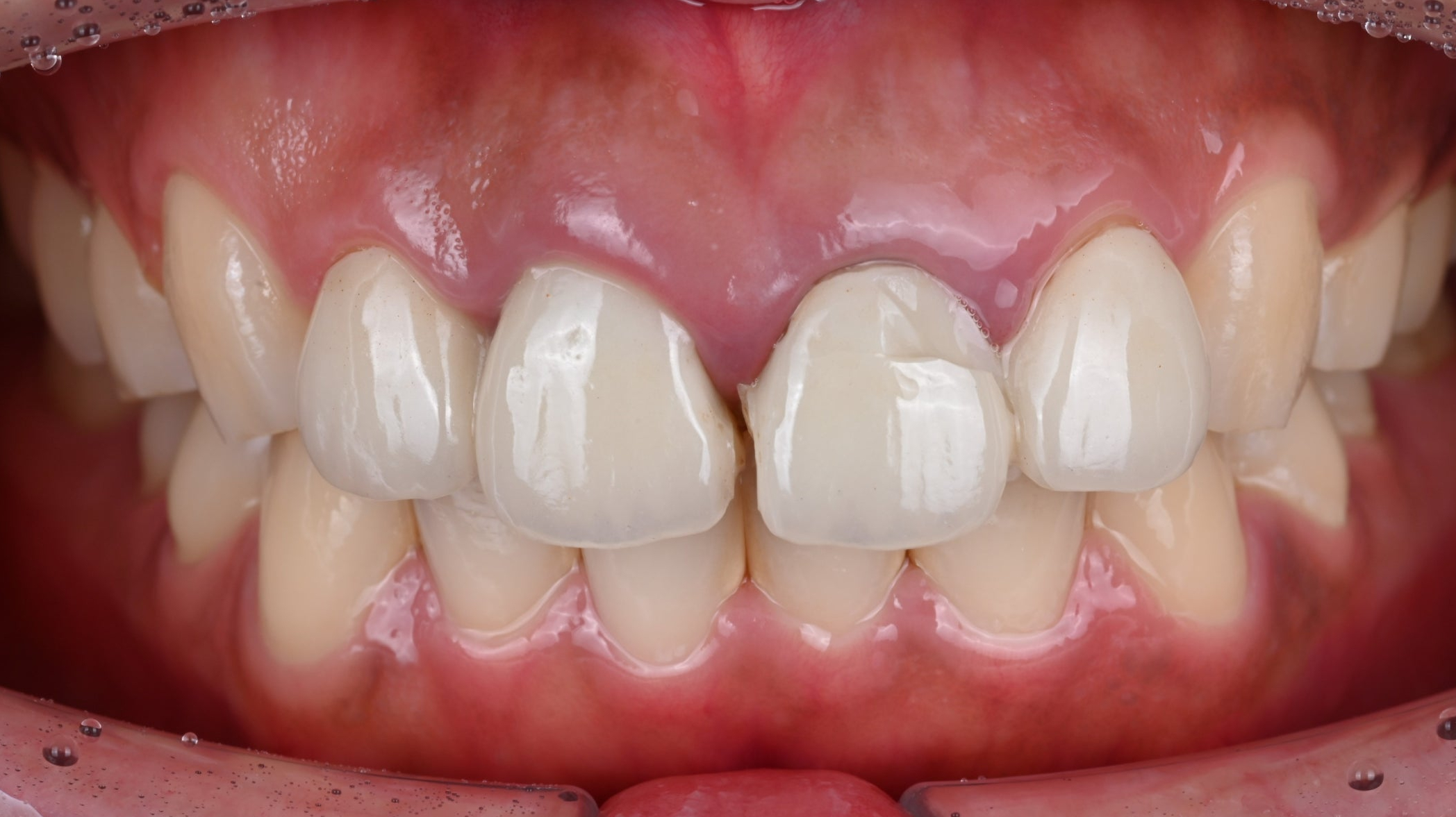
26.02.20 최종 보철물 제작 전
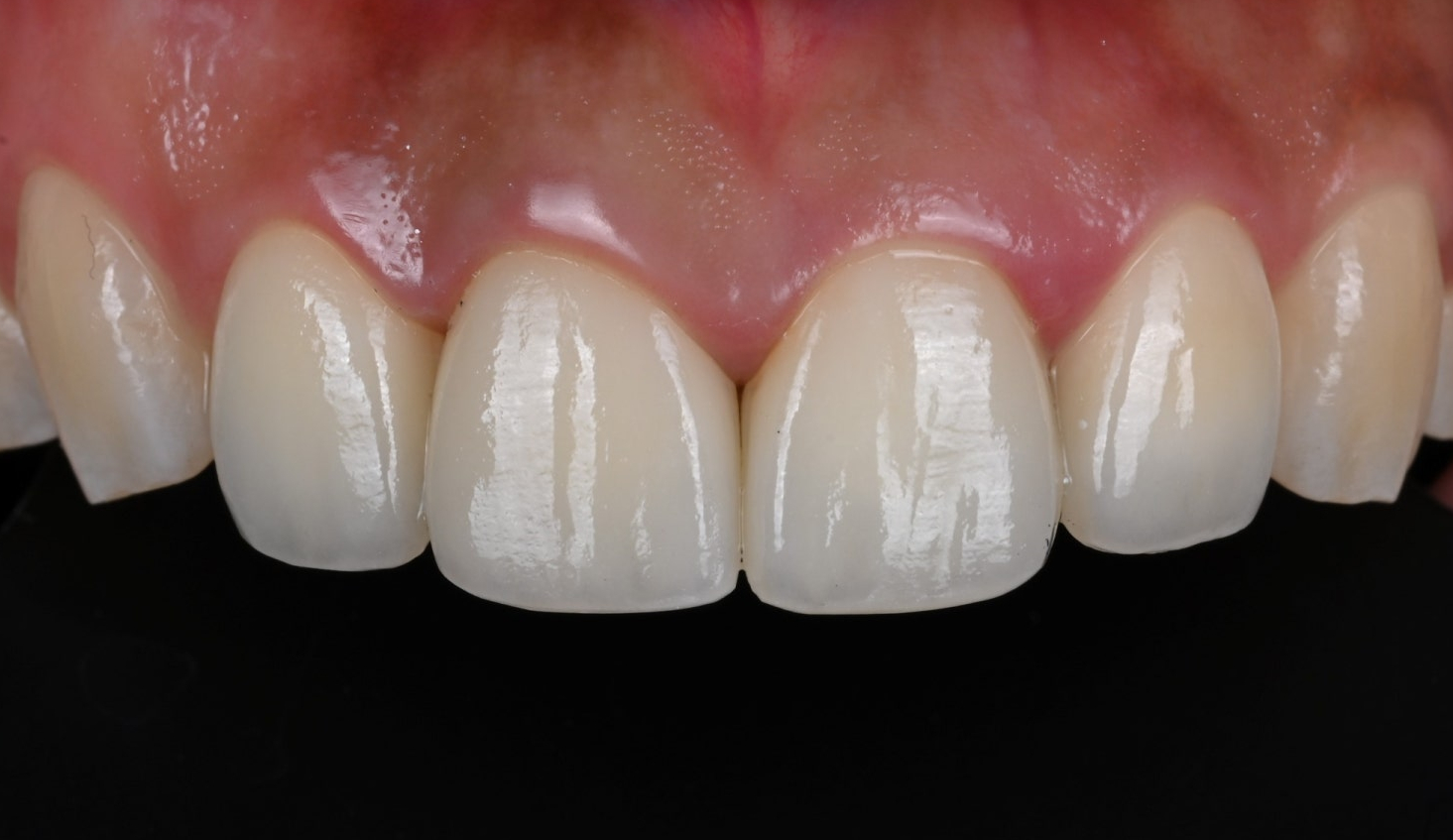
잇몸이 안정된 것을 확인한 후, 주변 치아와 완벽하게 어우러지는
형태와 색상으로 최종 보철물을 제작했습니다.
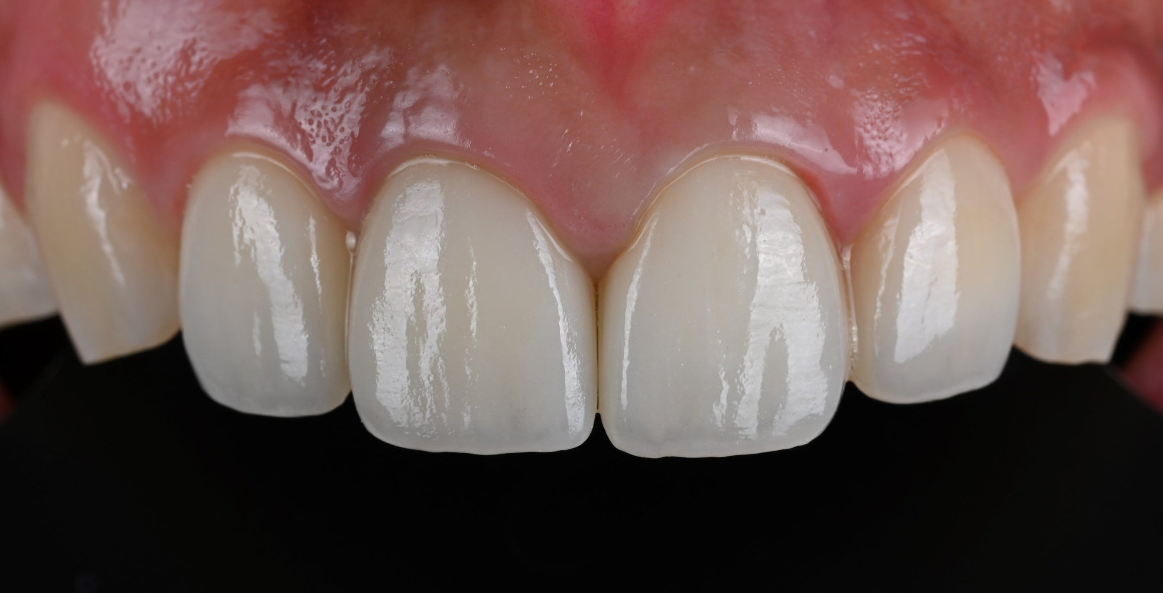
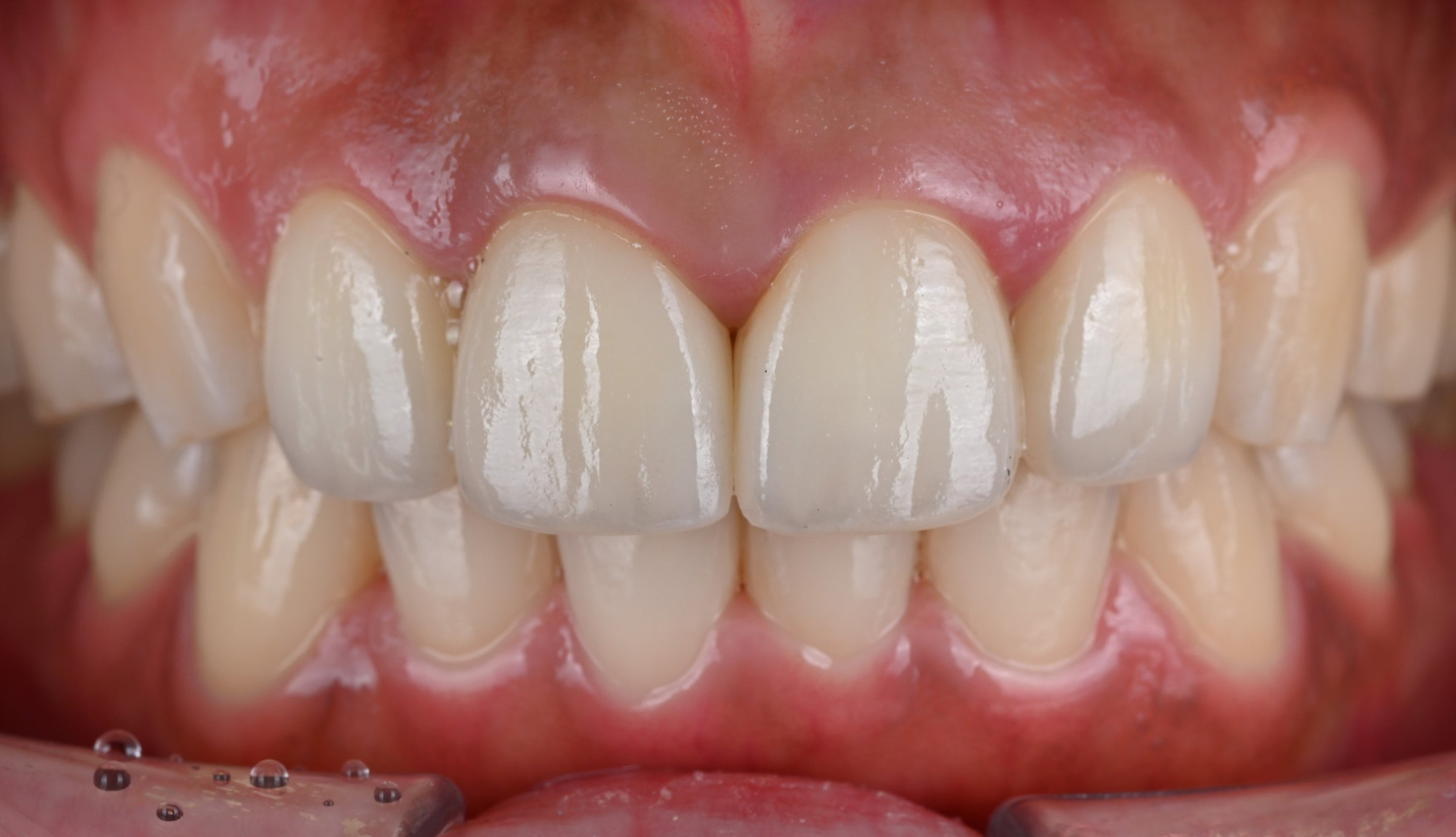
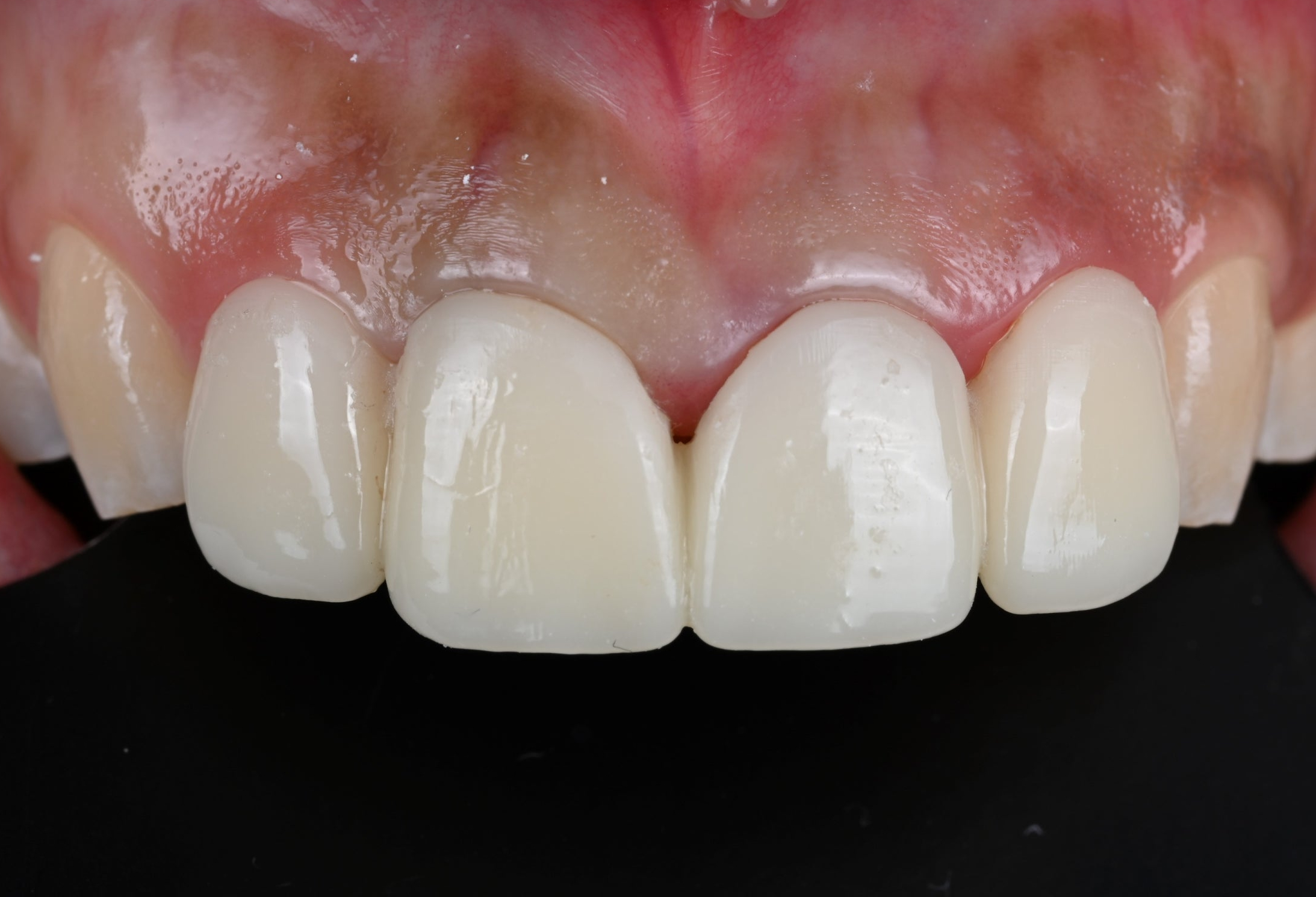
26.02.27 최종 보철물 임시접착
26.03.10 최종보철물 임시접착 후 10일 경과
이번 치료의 핵심 포인트
비침습적 잇몸 라인 개선
수술에 대한 부담 없이 보철 과정만으로 거미스마일 증상을 완화했습니다.
충분한 적응 기간
임시치아 과정을 통해 환자분이 만족하는 최적의 디자인을 미리 확인했습니다.
총 치료 기간은 약 한달이 걸렸습니다. (2월3일 ~ 3월10일까지)
치료 첫날 바로 치아를 다듬고, 본을 뜨고 크라운을 붙인다면
그보다 훨씬 빠르게 치료를 마무리 할 수 있을지도 모릅니다.
하지만
지금 당장 시간은 더 걸릴지라도
꼼꼼하게 차근차근 단계를 밟아나가며 치료를 진행해야 치료결과와 예후가 훨씬 좋다고 생각합니다.
오늘 내용이 많은 도움이 되셨으면 좋겠습니다!
감사합니다!
네이버 블로그에 오시면 더 다양한 케이스들을 보실 수 있습니다
배태현 원장의 이보다 좋은 치과 이야기 : 네이버 블로그 <- 클릭