안녕하세요.
부천중동치과 이보다치과 대표원장 배태현 입니다.
치과 치료는 단순히
아픈 곳을 때우는 것에 그치지 않습니다.
환자분의 컨디션, 잇몸 상태,
그리고 치료의 지속성까지 고려하여
가장 적절한 '방법'과 '시기'를 결정하는 것이 중요합니다.
오늘은 1년 넘는 긴 시간 동안 정기 검진을 이어오다,
가장 적절한 타이밍에 미소를 되찾아 드린
60대 여성 환자분의 사례를 소개해 드립니다.
2024년 12월
첫 만남과 예견된 문제
환자분께서 처음 이보다치과를
찾아주셨을 때는 어금니 통증이
주된 고민이셨습니다.
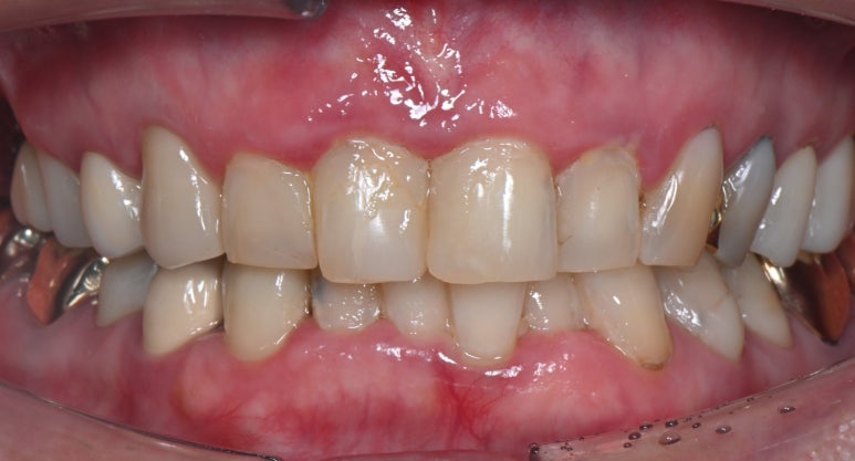
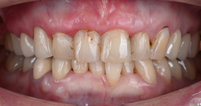
당시 앞니는 타 치과에서 받으신
레진 치료가 되어 있었는데, 표
면이 다소 울퉁불퉁하고 그 영향으로
주변 잇몸에 가벼운 염증(치은염)이
관찰되었습니다.

24.12.26 울퉁불퉁한 레진과 부어있는 잇몸
전문가의 눈에는 앞니 재치료가 필요해 보였지만,
환자분께서는 우선 급한 어금니 치료만 원하셨습니다.
저는 환자분의 의견을 존중하여 어금니 치료를 마무리해 드린 후,
앞니 상태를 주의 깊게 살피며 정기 검진을 이어갔습니다.
2026년 2월
1년 사이 더 악화된 앞니
약 1년이 지난 올해 2월,
검진을 위해 내원하신 환자분의
앞니 상태는 이전보다 많이 악화되어 있었습니다.

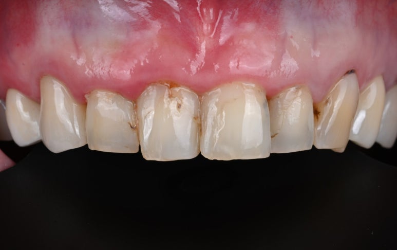
26.02.24 1년 사이 변색된 레진
심미적 저하
앞니 레진 부위에 심한 변색이 진행되었고
일부가 파절되어 있었습니다.
잇몸 건강 악화
울퉁불퉁한 레진 주변으로
잇몸이 붓는 원인이 되는
치태, 치석이 끼어있었습니다.
환자분께서도 이제는
앞니의 심미적인 문제와 불편함을
인지하시고 치료를 결정하셨습니다.

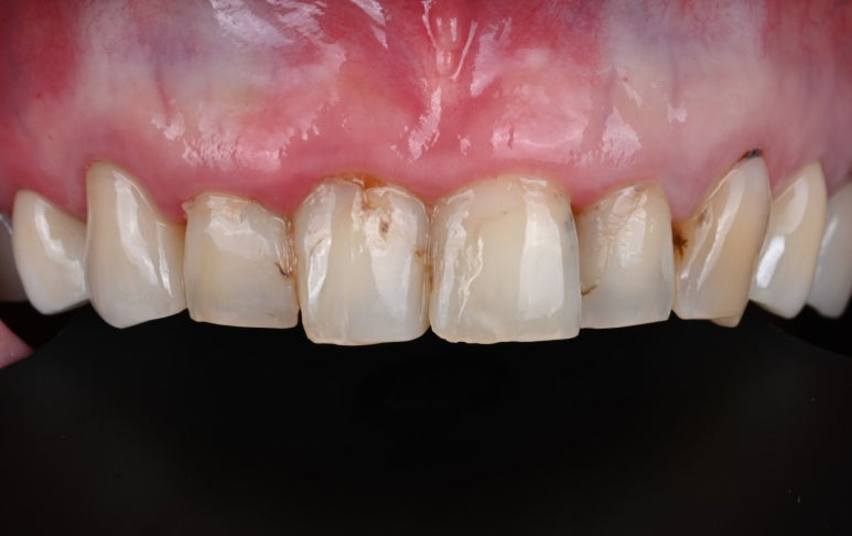
26.02.24
처음에는 레진 재치료도 고민했으나,
환자분의 상황을 종합적으로 고려하여
'크라운' 치료를 권해드렸습니다.
1. 전신 컨디션 고려
환자분께서 장시간 입을 벌리고
정교한 레진 치료를 받기에는
체력적으로 무리가 있는 상태였습니다.
2. 확실한 잇몸 관리
크라운을 통해 치아 형태를
매끄럽게 재구성하면,
잇몸 염증 컨트롤이 훨씬 수월해집니다.
치료는 서두르지 않고
정석대로 진행되었습니다.
기존 레진 제거 및 프렙
오래된 레진을 깨끗이 걷어내고
지르코니아 크라운에
맞게 치아를 다듬었습니다.
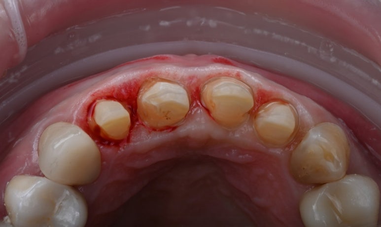
임시치아 단계
크라운 제작 전 임시치아를 먼저 장착했습니다.
부어있던 잇몸이 가라앉고
선홍빛 건강을 되찾을 때까지 충분히
기다린 후 본(인상)을 떴습니다.
이 기다림의 시간이 보철물의 수명과
잇몸 라인의 아름다움을 결정합니다.

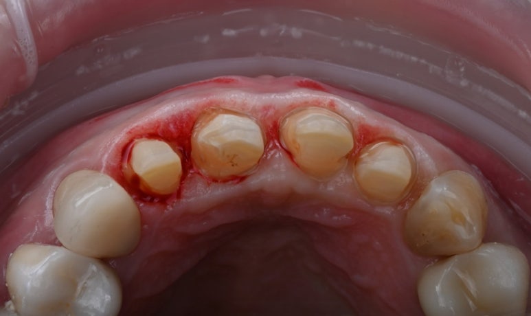
26.03.05 잇몸 염증으로 인해 출혈 발생

26.03.05

26.03.13 임시치아 장착 후 붓기도 빠지고 탄탄해진 잇몸

기공소에서 제작한 지르코니아 크라운
드디어
완성된 지르코니아 크라운을
세팅해 드렸습니다.
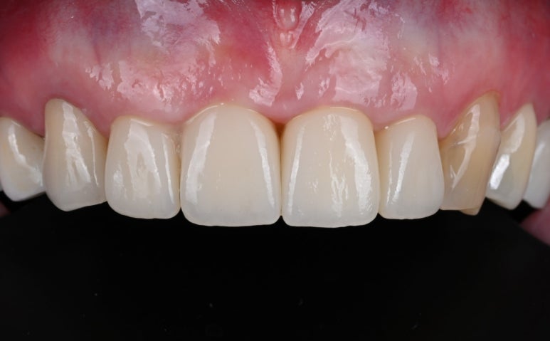
결과는 대만족이었습니다!
울퉁불퉁하던 치아는 매끈하고
자연스러운 형태로 변했고,
무엇보다 환자분을 괴롭히던
잇몸 염증이 사라져
선홍빛 건강한 잇몸 라인이 회복되었습니다.
최종 보철물도 바로 완전히 붙이지 않고
1주일 정도 적응기간을 가져
새로운 크라운에 잇몸이 잘 적응하는지
확인하였습니다.

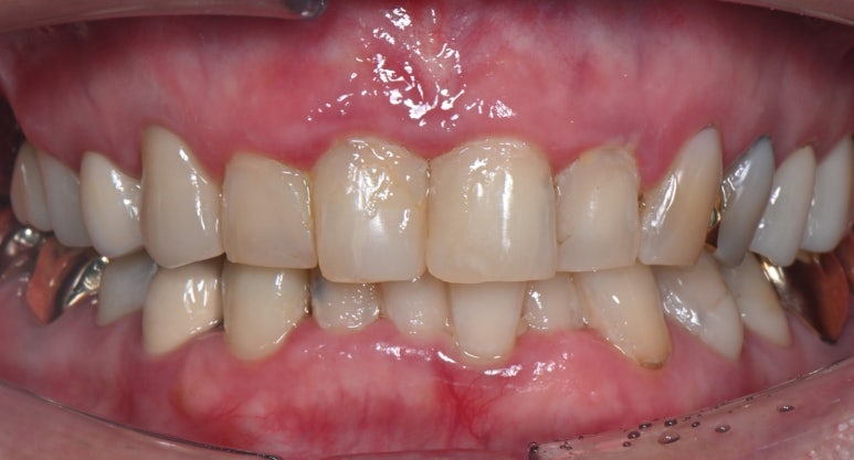
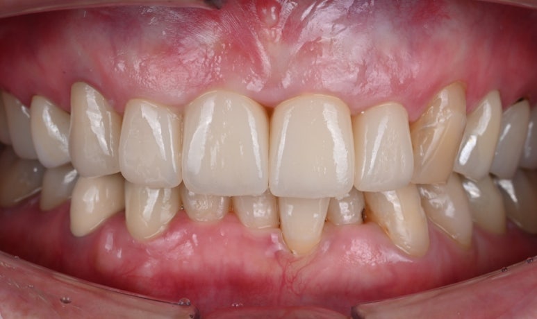
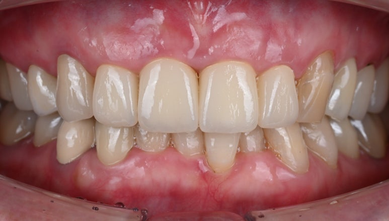
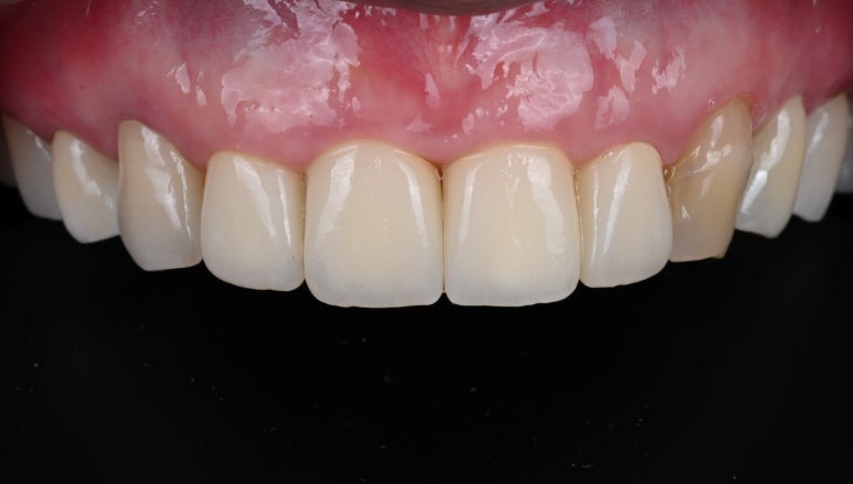
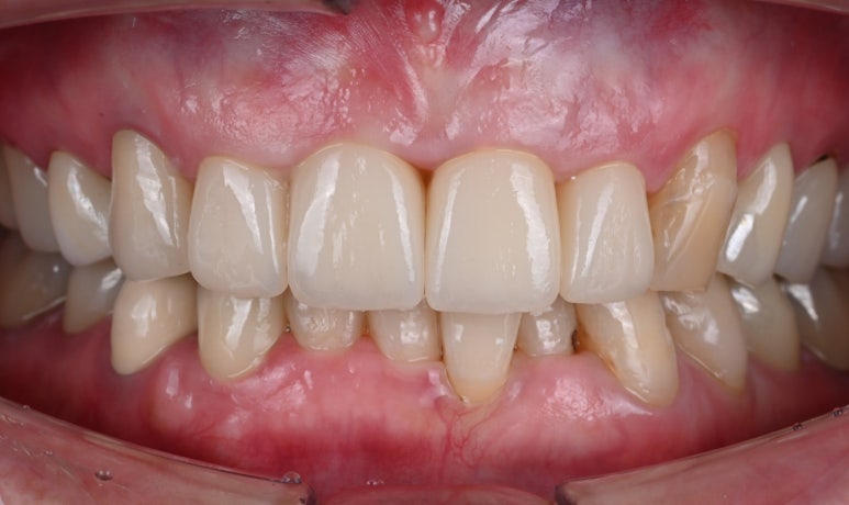
26.03.26 최종 크라운 장착 직후

26.03.26 최종 크라운 장착 직후

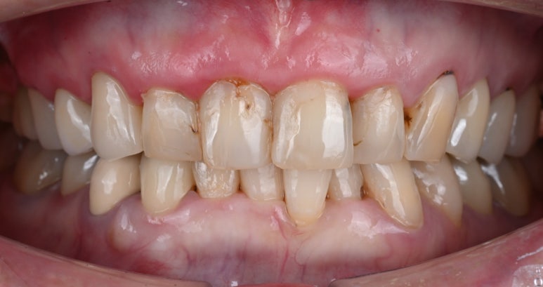
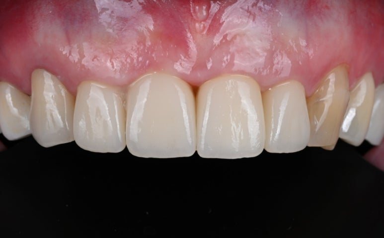
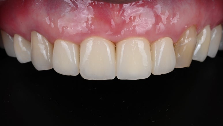
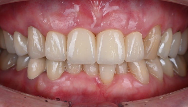
26.04.02 최종 크라운 장착 1주일 후

26.04.02 최종 크라운 장착 1주일 후
치료를 마무리하며
환자분은 만족해하셨지만,
제 마음 한구석에는 아쉬움이 남았습니다.
만약 1년 전,
처음 문제를 발견했을 때
바로 치료를 시작했더라면 어땠을까요?
잇몸 염증이 만성화되어 고생하시거나
레진이 파절되는 불편함 없이,
훨씬 더 건강한 상태에서
더 좋은 예후를 기대할 수 있었을 것입니다.
물론
환자분의 상황과 의사를
존중하는 것도 중요하지만,
전문가로서
'더 나빠지기 전에 치료하는 예방적 접근'이
왜 필요한지 다시 한번 절감한 케이스였습니다.
보철물의 변색이나 잇몸의 미세한 붓기는
치아가 보내는 마지막 신호일 수 있습니다.
통증이 없다고 방치하기보다,
골든타임을 놓치지 않도록
정기적인 검진과 적기 치료를 권장해 드립니다.
감사합니다!
네이버 블로그에 오시면 더 다양한 케이스들을 보실 수 있습니다
배태현 원장의 이보다 좋은 치과 이야기 : 네이버 블로그 <- 클릭
.png?type=w773)