안녕하세요.
부천중동치과 이보다치과 대표원장 배태현 입니다.
우리나라 성인 중에는 선천적으로 영구치가 부족한
'치아 결손'을 겪는 분들이 꽤 많습니다.
특히 앞니가 부족하면
웃을 때나 대화할 때 빈 공간이 보여
큰 콤플렉스가 되곤 하는데요.
오늘은 하악 앞니 2개가 모두 결손되어
평생 고민이 많으셨던 여성 환자분의
'치아 삭제 최소화' 브릿지 치료 사례를 소개해 드립니다.
1. 교정과 임플란트,
정답이지만 모두에게 최선은 아닙니다

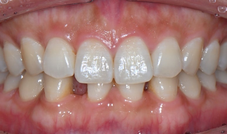
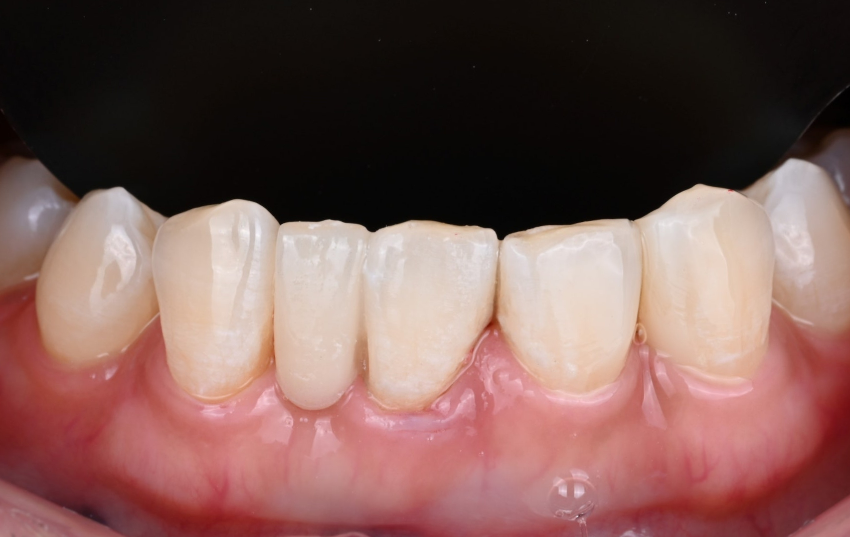
26.03.12 아래앞니 공간
치아가 없는 공간을 해결하는
정석적인 방법은 교정 치료로 공간을
재배치한 뒤 임플란트를 심는 것입니다.
하지만 이 환자분께서는 다음과 같은
고민이 있으셨습니다.
1) 긴 치료 기간
교정과 임플란트를 병행하면
1년 이상의 긴 시간이 소요됩니다.
(교정케이스마다 기간은 다를 수 있습니다)
2) 심리적 부담
임플란트 수술이나 장기간의
교정 장치 착용을 원치 않으셨습니다.
환자분의 상황을 충분히 경청한 결과,
현재 상태에 최대한 맞춰서
빠르고 심미적으로 해결할 수 있는 방법을
고민하게 되었습니다.
2. 삭제를 최소화하는
: '메릴랜드 브릿지'

26.03.19
빈 공간의 크기가 제각각이었기에,
각 부위에 맞는 맞춤형 복합 치료를 계획했습니다.
1) 좁은 공간은 레진으로 (바이오클리어)
상대적으로 공간이 좁은 곳은
치아를 전혀 깎지 않는
바이오클리어 레진 수복을 통해
자연스럽게 공간을 메웠습니다.

26.03.19 레진 치료를 위한 러버댐 장착

26.03.19 바이오클리어를 이용한 레진 수복

26.03.19
2) 넓은 공간은 메릴랜드 브릿지로
임플란트 대신 선택한 것은
'메릴랜드 브릿지'입니다.
일반 브릿지와 달리 치아를 전체적으로 깎지 않고,
인접 치아 안쪽에 얇은 날개 모양의
보철물을 붙여 치아를 연결하는 방식입니다.
덕분에 소중한 자연치아 삭제량을
획기적으로 줄일 수 있었습니다.
3. 접착의 원칙,
결과의 차이를 만듭니다
메릴랜드 브릿지는 '접착'이 치료의 성패를 좌우합니다.
잘 떨어질 수 있다는 단점을 보완하기 위해
엄격한 접착 프로토콜을 지켰습니다.
1) 러버댐 장착
레진 수복과 브릿지 접착 모든 과정에서
러버댐을 사용하여 입안의 습기를
완벽히 차단했습니다.

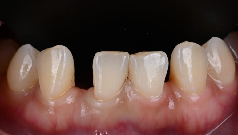
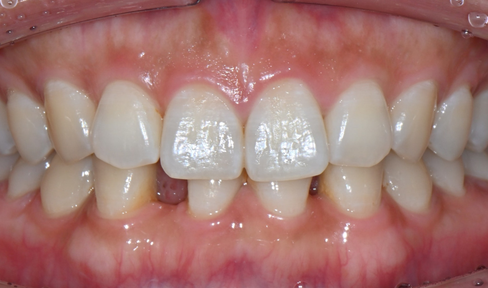
26.04.02 메릴랜드 브릿지 접착 준비

26.04.02 메릴랜드 브릿지 접착 준비
2) 정밀한 기공 제작
기공소장님과 긴밀히 소통하여
환자분의 치아 색상과 투명도를
자연치아와 유사하게 재현한
보철물을 의뢰했고, 정성스럽게 제작된
보철물을 확인했습니다.



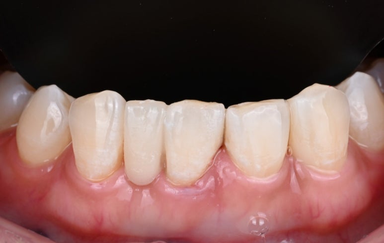
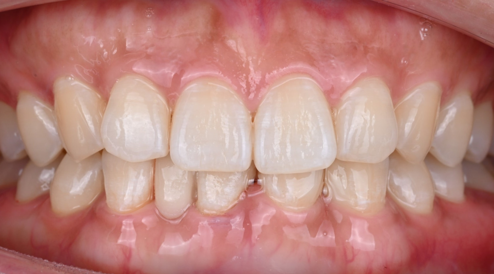
26.04.02 메릴랜드 브릿지 접착 후

26.04.02 메릴랜드 브릿지 접착 후
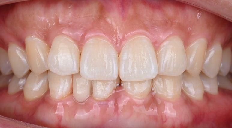
4. 치료 결과
"진작 할 걸 그랬어요!"

26.04.02 치료 후 모습
치료가 끝난 후,
환자분께서는 거울을 보며
한참 동안 미소를 지으셨습니다.
평생을 따라다니던 콤플렉스가
며칠 만에 해결되었기 때문입니다.
"치과치료가 무서워서 미뤄왔는데,
이렇게 안 아프고 예쁘게 될 줄 알았으면
진작 올 걸 그랬어요"
라며 남겨주신 소감이
저희에게도 큰 보람이 되었습니다.

26.04.02 치료 후
가장 좋은 치료는 교과서적인 정답이 아니라,
환자분의 삶의 궤적과 니즈에 맞는 치료라고생각합니다.
치아 결손으로 고민 중이지만 긴 치료 기간이나
수술이 부담스러우시다면, 포기하지 마세요.
치아를 지키면서도 아름다움을 되찾을 수 있는 길은
반드시 있습니다.
치아 결손,
임플란트만이 정답은 아닙니다.
환자의 고민을 듣고 최선의 대안을 찾아내는
이보다치과에서 여러분의 잃어버린
앞니 자신감을 되찾아 보세요.
감사합니다!
.png?type=w773)